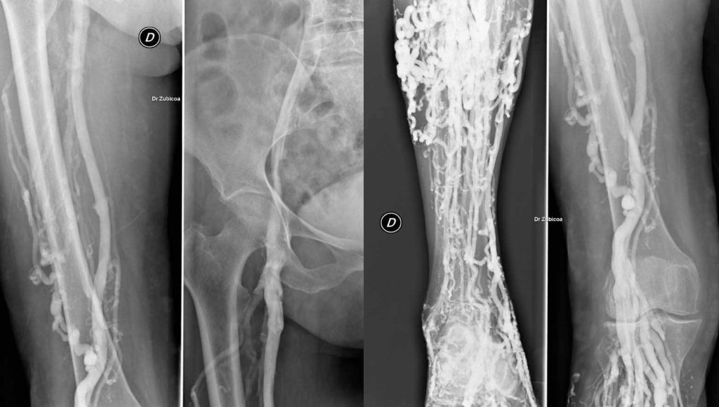
CIRUGIA DE TORAX Y CARDIOVASCULAR
Nos especializamos en la cirugía torácica y cardiovascular, brindando soluciones avanzadas para tratar afecciones del corazón, pulmones y estructuras del tórax. Nuestro equipo de cirujanos altamente capacitados utiliza técnicas de vanguardia para ofrecer un tratamiento personalizado y seguro, asegurando la mejor atención y una recuperación óptima para cada paciente.

Detalle

Detalle

